L’obesità
L’obesità è una patologia a tutti gli effetti. Prevede un aumento significativo del peso corporeo con ripercussioni gravi, persino invalidanti, sulla qualità della…
L’obesità è una patologia a tutti gli effetti. Prevede un aumento significativo del peso corporeo con ripercussioni gravi, persino invalidanti, sulla qualità della…
Per uno sportivo l’alimentazione è fondamentale, ma lo è altrettanto mantenersi in buona salute per non compromettere le prestazioni o semplicemente per non…
L’obesità è un problema molto serio. Non comporta solo inestetismi, ma crea preoccupanti alterazioni funzionali di numerosi organi. Ciò predispone a sviluppare tutta…
Il cervello e l’intestino, quindi gli organi che regolano l’umore e il cibo, sono direttamente collegati. Alla base del benessere che deriva dal…
Con il termine “dermatite” vengono indicate molte malattie della cute, caratterizzate perlopiù da fenomeni infiammatori. Intesa nel suo significato più generico, la dermatite…
L’ortopedia è la specialità medica che si occupa delle patologie dell’apparato scheletrico, dei muscoli e dei legamenti. Il medico specializzato in Ortopedia e Traumatologia…
Il linfodrenaggio manuale è uno dei massaggi più richiesti sia in ambito medico che in ambito estetico. Il motivo è che agisce su…
Se mentre si urina si sente un dolore al basso ventre o un fastidio potrebbe trattarsi di cistite, un’infiammazione della mucosa vescicale che…
Guariti e vaccinati contro il covid-19 si chiedono all’unanimità: ho abbastanza anticorpi? Quanto sono protetto dal Covid? Ormai da diverso tempo c’è la…
La fascia pediatrica, dai 12 anni in su, risulta essere tra quelle meno colpite dal SARS-CoV2. Ma recenti evidenze scientifiche hanno dimostrato anche…
Le operazioni di filling alle labbra sono diventate negli anni sempre più popolari. Il problema di determinate tipologie di procedure comunemente diffuse è…
Il Tumore del rene è una neoplasia che passa inosservata per la maggior parte del decorso per questo è importante fare attenzione ai…
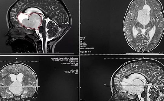
Foto laRepubblica: in rosso l’area interessata dal tumore Sesili, bambina di 18 mesi, è arrivata dalla Georgia grazie ad un intervento umanitario autorizzato…
Quasi un bambino italiano su tre (30%) è obeso o in sovrappeso con una tendenza aggravata dalla pandemia. I lunghi periodi trascorsi in casa, in particolare per…
La Luce è di vitale importanza per l’organismo. È una radiazione elettromagnetica complessa, suddivisa in spettro non visibile e spettro visibile. Raggi UV…