
Dott. Storti, cosa distingue i defibrillatori tradizionali da quelli sottocutanei?
I defibrillatori tradizionali, utilizzati per il trattamento delle aritmie ventricolari e per combattere la morte improvvisa, necessitano dell’inserzione di cateteri endovascolari che vengono cioè fatti passare attraverso i vasi che arrivano al cuore. I nuovi defibrillatori sottocutanei, al contrario, non prevedono tali cateteri, ma vengono impiantati appunto a livello sottocutaneo (Fig. 1).

Fig. 1
Un singolo catetere viene fatto passare sotto la pelle, dal defibrillatore situato in una tasca sotto l’ascella verso la porzione anteriore del torace lungo il margine dello sterno.
Presso l’Istituto di Cura Città di Pavia, il Centro di Aritmologia e Cardiostimolazione da me diretto si contraddistingue per l’utilizzo di device cardiaci di ultima generazione.
Per chi è indicato il defibrillatore sottocutaneo?
Il defibrillatore sottocutaneo è l’opzione preferita al posto dell’ICD transvenoso nei pazienti che non hanno un accesso venoso, ad esempio con vasi occlusi, o nei pazienti ad alto rischio di complicanze con l’accesso transvenoso, come i soggetti immunocompromessi, o nei pazienti con un’aspettativa di vita superiore ai dieci anni.
Quali sono i vantaggi all’atto pratico?
Sono molteplici e notevoli, in particolare per quei pazienti giovani che, per anomalie congenite, sono predisposti alla morte improvvisa e che, pertanto, sono candidati a portare tali impianti per tutta la vita.
I cateteri tradizionali possono infatti rompersi o infettarsi nel tempo e la loro estrazione costringe ad una procedura complessa che può essere pericolosa. Dopo tanti anni, infatti, si forma del tessuto fibroso che riveste il catetere e lo fissa al cuore e alle vene. Durante il tentativo di estrazione, anche agendo con la massima prudenza, si possono creare delle lacerazioni che richiedono un intervento chirurgico d’urgenza.
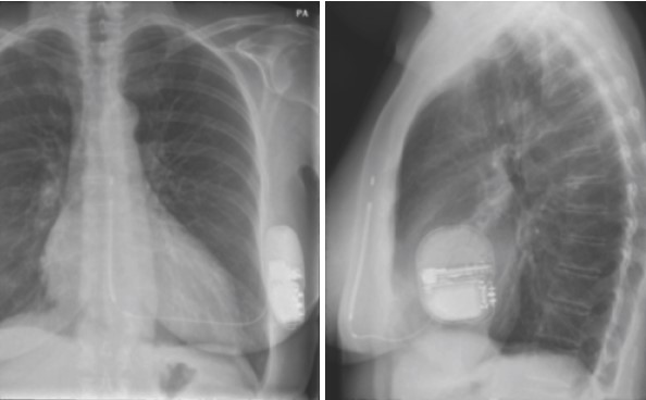
Il defibrillatore sottocutaneo ed il suo unico catetere, invece, a fronte di un qualsiasi problema, possono essere rimossi in maniera molto rapida e senza particolari rischi, perché restando sotto la pelle non sono a contatto con strutture delicate (Fig. 2).

Fig. 2
E in quanto a durata c’è differenza?
I nuovi device sottocutanei hanno una durata della batteria comparabile a quella dei modelli tradizionali. Sono anche diventati compatibili con la risonanza magnetica e, non da meno, sono dotati di un sistema di monitoraggio a distanza che permette al paziente di trasmettere in tempo reale all’ospedale i dati registrati in caso di sintomi o di eventuali malfunzionamenti del device.
In tempi ridotti, il Centro può così valutare la necessità o meno di richiamare il paziente per un controllo clinico.










