

I terzi molari, detti anche denti del giudizio poiché normalmente compaiono in bocca intorno ai 18 anni, raramente trovano posto in arcata in posizione normale e circondati da una banda di gengiva aderente sana.
I possibili danni provocati dai denti del giudizio
Solitamente, invece, non trovando spazio sufficiente nelle bocche dei ragazzi di oggi (meno sviluppate di quelle dei nostri progenitori), i denti del giudizio erompono solo in parte causando dolori, gonfiori gengivali e spostamenti degli altri denti.
In in altri casi non spuntano per nulla ma ugualmente erodono l’osso o la radice del dente precedente, creando dei problemi che alla lunga risultano anche più gravi dei primi.
Gli strumenti per prevedere lo sviluppo dei denti del giudizio
Per mezzo delle radiografie panoramiche e laterali e grazie a sofisticati programmi di calcolo della crescita, siamo in grado di predeterminare se lo spazio osseo sarà sufficiente per accogliere il dente del giudizio senza problemi.
L’estrazione dei germi
In caso contrario, suggeriamo sempre ai genitori dei piccoli Pazienti di far estrarre i “germi” dei denti del giudizio (cioè le gemme o gli embrioni), che fino ai 14-15 anni sono privi di radici e non saldati all’osso circostante.
L’intervento di rimozione dei germi risulta pertanto piu’semplice, meno invasivo, eseguito tramite una semplice incisione attraverso la quale il germe del dente viene fatto sgusciare fuori agevolmente, evitando così al ragazzo di dover sopportare in futuro interventi pesanti e dolorosi per l’estrazione dei denti con radici sviluppate ed inglobate nell’osso circostante.
ESEMPIO DI DIFFERENZA TRA GERME DI DENTE DEL GIUDIZIO A 12 ANNI (SINISTRA) E DENTE DEL GIUDIZIO FORMATO A 40 ANNI CON PROBLEMI DI LESIONE OSSEA (DESTRA)

I 4 motivi per cui estrarre i denti del giudizio
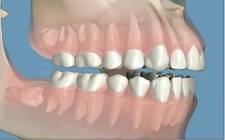
1- AFFOLLAMENTO DENTALE
| PRIMA | DOPO |
![]() |
![]() |
2- PERICORONARITE DENTALE
| PRIMA | DOPO |
![]() |
![]() |
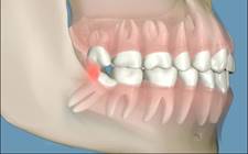
3-INCLUSIONE OSSEA
| PRIMA | DOPO |
![]() |
![]() |
4-CORROSIONE DENTE ADIACENTE
| PRIMA | DOPO |
![]() |
![]() |

















