Il ruolo della citologia nasale nella diagnosi delle rinopatie

l'esperto risponde

 

L’endoscopia nasale da diversi anni rappresenta lo strumento di più frequente impiego nella diagnostica delle patologie rinosinusali. Tuttavia molto spesso dobbiamo confrontarci con una vasta gamma di patologie caratterizzate da quadro clinico ed obbiettivo analoghi. Il riscontro endoscopico di una ipertrofia dei turbinati inferiori ed i sintomi riferiti dai pazienti come ad esempio l’ostruzione nasale la rinorrea o la  starnutazione non forniscono in molti casi dati sufficientemente esaurienti per definire una corretta diagnosi. Negli ultimi anni ha trovato sempre più spazio fra i rinologi la citologia nasale, una indagine oramai fondamentale con indubbi vantaggi: la bassa invasività, il basso costo, la facile ripetibilità. Grazie ad uno studio citologico sulla mucosa respiratoria nasale siamo in grado porre diagnosi più raffinate, oggettivare la gravità della patologia  e monitorare la relativa risposta terapeutica.

Come si esegue un esame citologico?

La prima fase è quella del campionamento ovvero del oprelievo di materiale da esaminare.  Esistono a tal proposito diverse modalità di prelievo come il brushing, il soffiato, il lavaggio. Noi utilizziamo  la tecnica dello scraping servendoci di un piccolo dispositivo con micropunta concava simile ad un piccolissimo cucchiaino, sterile e monouso. Senza nessuna forma di anestesia applichiamo con il cucchiaino una leggera pressione a livello dalla seconda porzione del turbinato inferiore e trasciniamo lo strumento verso l’esterno facendo attenzione a non contaminare il campione con batteri o cellule derivati da un inopportuno contatto con la cute del vestibolo. La seconda fase è quella della processazione in cui disponiamo il materiale sul vetrino portaoggetti. La terza fase è quella della fissazione e della colorazione. In citologia nasale utilizziamo principalmente la colorazione May-Grunwald-Giemsa (MGG) che consente di distinguere facilmente i diversi citotipi. L’ultima fase è quella del montaggio del vetrino  in cui mediante un coprivetrino prepariamo il campione per l’osservazione microscopica.

Come appare la mucosa nasale sana?

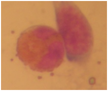
Nella mucosa nasale sana la cellula più rappresentata risulterà senza dubbio quella ciliata (Fig 1) che assieme alla cellula mucipara caliciforme (Fig 2) compone una importantissima barriera difensiva comune a tutte le vie respiratorie: la clearence muco-ciliare. Una alterazione del rapporto proporzionale fra queste due popolazioni cellulari (normalmente 5:1 a favore delle cellule ciliate) presuppone uno scadimento della clearence muco-ciliare e quindi una potenziale suscettibilità delle vie respiratorie a contrarre infezioni. Oltre alle cellule suddette, in un campione citologico nasale normale potremo notare cellule striate, basali, ma anche rari linfociti, macrofagi e neutrofili che se presenti in minime quantità non rappresentano un indice di patologia.

2  1

Quali cellule possiamo riscontrare in presenza di una rinopatia?

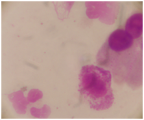
Il granulocita neutrofilo rappresenta l’elemento cellulare che le più comuni rinosinusiti infettive. Questa cellula presenta forma3 tondeggiante con un nucleo plurilobato (da cui il nome granulociti polimorfonucleati). Grazie al loro contenuto in perossido di idrogeno e ione superossido viene garantita la  principale funzione del neutrofilo ovvero la fagocitosi  cioè la capacità di ingerire ed eliminare elementi nocivi (batteri, spore, polveri…) (Fig 3). La presenza di sporadici neutrofili nel campione citologico deve essere considerata normale. Viceversa noteremo in caso di infezioni un loro notevolissimo incremento. Inoltre conosciamo un’altra tipologia di  patologia detta  NARNE (Non-Allergic Rhinitis with Neutrophil) che si caratterizza per l’elevata infiltrazione neutrofila ed  in cui il reclutamento dei neutrofili è favorito da una spina irritativa di natura chimico-fisica (e non da agenti infettivi come nel caso delle rinosinusiti croniche). Questa patologia risulta infatti particolarmente frequente in certi ambienti professionali, nelle città industrializzate ed inquinate, nei fumatori cronici e probabilmente nei pazienti affetti da reflusso gastro-esofageo.

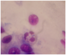
4L’eosinofilo esercita  al contrario  un ruolo chiave nell’eziopatogenesi della rinite allergica (Fig 4), ma non solo. Lo troviamo infatti protagonista  anche nelle rinopatie vasomotorie non allergiche come la  NARES (Non-Allergic Rhinitis with Eosinophil) e la NARESMA (Non-Allergic Rhinitis with Eosinophil and Mast-cells). Si tratta di una cellula tondeggiante con nucleo generalmente bilobato ed una spiccata affinità per  l’eosina che gli dona una caratteristica colorazione salmone. Il citoplasma degli eosinofili risulta occupato da molteplici granuli contenti diversi mediatori infiammatori come la proteina cationica eosinofila, la perossidasi eosinofila e la proteina basica maggiore. Presenta inoltre costituenti non granulari come la proteina di membrana detta di Charcot-Leyden e i metaboliti dell’acido arachidonico (prostaglandine e leucotrieni).

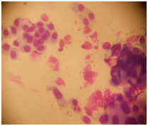
I mastociti (Fig 5) infine vengono riscontrati come gli eosinofili nelle riniti allergiche e nelle rinopatie vasomotorie non allergiche come laNARMA (Non-Allergic Rhinitis with Mast-Cells) e la NARESMA (Fig 6). Anche in questo caso  sono rappresentati da cellule tondeggianti con alta affinità per il blu di Toluidina che conferisce loro una caratteristica colorazione blu-violacea. Presentano in superficie recettori altamente specifici per le IgE ed intervengono nella early phase della cascata allergica. Anch’essi, come gli eosinofili, contengono diversi mediatori  tra cui quelli preformati (istamina, triptasi e fattori chemiotattici) e quelli neoformati (prostaglandine e leucotrieni).

E’ oramai risaputa l’aggressività di queste forme ed in particolare di quelle a cellularità mastocitaria (NARMA) e eosinofilo-mastocitaria (NARESMA) che presentano un quadro clinico molto intenso, caratterizzato da marcata ostruzione nasale, rinorrea sierosa abbondante, puririto nasale e starnutazione. Inoltre si accompagnano  a rapide ricadute dopo temporanea sospensione del trattamento  e mostrano  una stretta associazione con la poliposi nasale e l’asma verso cui evolvono quando non correttamente curate.

56

Cosa rappresentano le overlapped rhinitis?

Un ultimo aspetto riguarda l’esistenza di quelle che definiamo “overlapped rhinitis” ovvero quadri clinici riconducibili a riniti sovrapposte. Alcuni pazienti sensibili ad allergeni stagionali possono infatti presentare sintomi quali ostruzione nasale, rinorrea sierosa e starnutazione persistenti anche al di fuori del periodo di prevista pollinazione. Eseguendo una indagine citologica potremo scoprire la presenza di una cellularità eosinofilia e/o mastocitaria, non riconducibile al contatto con l’allergene cui il paziente risulta sensibilizzato. Si tratterà in questo caso di una forma di rinite allergica stagionale associata ad una forma di rinite vasomotria non allergica. In questi casi solo l’esame citologico ci permette di giungere ad una corretta diagnosi.

Grazie al suo basso costo alla sua facile tollerabilità ed alla ripetibilità che la caratterizza possiamo pertanto affermare che la citologia nasale rappresenta al giorno d’oggi uno strumento indispensabile per un corretto approccio alla patologia infiammatoria nasale consentendoci una sicura e corretta diagnosi ed una oggettivo monitoraggio dei risultati terapeutici. In questo modo grazie al metodico ricorso alla citologia nasale riteniamo siano meglio curate e seguite le forme di rinopatia che possono evolvere verso la poliposi nasale e l’asma. Riteniamo pertanto questa metodica utile anche ai fini di prevenzione e di miglioramento prognostico di alcune rinopatie.

Centro Rinologico Dott. Capelli

Centro Rinologico Dott. Capelli

Condividi su