L’ortodonzia e l’ortognatodonzia

L’ortodonzia è la branca dell’odontoiatria che corregge le malocclusioni  e affollamenti dentali  grazie all’uso di apparecchi ortodontici fissi o mobili che applicano forze di diversa intensità  e durata a seconda delle diverse scuole di pensiero  seguite dal professionista.

L’ortodonzia è indicata per risolvere:

  • Affollamenti dentali e relative problematiche estetiche
  • Affollamenti dentali che impediscono una corretta igiene orale aumentando  il rischio di carie o periodontite ( infiammazione gengivale)
  • Malocclusioni , quindi alterati rapporti tra le arcate dentali e correzione o comunque stimolo alla correzione delle discrepanze scheletriche.

L’ortodonzia  quindi contribuisce al benessere psico-fisico del paziente, migliorando sia la funzione che l’estetica dei denti.

Cosa corregge l’ortodonzia?

L’ortodonzia è  applicabile sia nei  bambini che negli adulti.

Risulta essere indispensabile per affrontare  eventuali disfunzioni e problematiche dento-scheletriche.

Le cause principali delle disfunzioni e problematiche  dento – scheletriche, nei bambini, sono :

  • Fattori genetici (discrepanze tra i mascellari figlie di una certa familiarità)
  • Abitudini scorrette (uso prolungato del ciuccio, deglutizione atipica)
  • Problematiche respiratorie
  • Disodontiasi (mancata eruzione in arcata o posizione anomala di elemento dentale)
  • Traumi fisici
  • Perdita precoce e errata posizione dei denti decidui (da latte).
  • Asimmetrie facciali
  • Asimmetrie posturali (funzionali o strutturali)

Non confondiamo odontoiatria e ortodonzia!

Ortodonzia e odontoiatria sono due cose diverse ed è bene non confonderle.

L’odontoiatria, diversamente dell’ortodonzia, si occupa di prevenzione, diagnosi e cura delle patologia legate a denti, mascellari, gengive e tessuti relativi.

Le due branche vanno a braccetto per la cura del paziente, integrandosi vicendevolmente.

Fig. 1:  microdonzia dell’elemento dentale 12 corretta con un intervento odontoiatrico conservativo. (ricostruzione coronale del dente con materiale da otturazione)

Inoltre è importantissimo curare i denti decidui (da latte) affinché la bocca resti integra e vengano mantenuti tutti gli spazi dentali.

Un bambino che non mastica da un lato perché ha un fastidio dentale, tenderà a sviluppare un’asimmetria occlusale con le relative ripercussioni dal punto di vista ortodontico.

Bisogna  anche distinguere  l’Ortodonzia  dalla  Ortognatodonzia!

Le due parole sembrano  apparentemente  simili  ma l’approccio  diagnostico  e terapeutico, in alcuni casi, risulta essere  parecchio  differente.

La pratica dell’ortodonzia prevede la prevenzione delle malocclusioni, lo studio, l’applicazione ed il controllo degli apparecchi correttivi al fine di trattare e risolvere le anomalie occlusali come già sopracitato.

 L’ortognatodonzia fa tutto questo nel rispetto delle Articolazioni Temporo Mandibolari e dell’atteggiamento posturale del paziente.

L’argomento è molto difficile e potrebbe diventare un trattato specialistico molto complesso e dispersivo.

Pertanto andremo per gradi ripercorrendo l’iter diagnostico , in primo luogo, e l’iter terapeutico  differenziato a seconda delle problematiche ortodontiche o ortognatodontiche che si possono riscontrare nella pratica clinica quotidiana.

La prima visita ortodontica

L’ortodontista dopo aver visitato il bambino può semplicemente tenerlo sotto controllo per valutare nel tempo la crescita scheletrica dei mascellari e l’eruzione dentale, offrendo utili consigli per l’igiene orale e la prevenzione delle malattie del cavo orale.

Se, invece, il bambino presenta un grave problema dentale o dento-scheletrico, l’ortodontista può raccomandare un trattamento di tipo intercettivo che sarà immediato ma limitato nel tempo, ed eventualmente seguito da una seconda fase di terapia in dentizione mista tardiva o permanente.

Una visita precoce (4-6 anni), quindi, permette all’ortodontista di determinare come e quando è meglio intervenire per avere il massimo risultato nel minor tempo possibile e con minor spesa.

In molti casi un intervento intercettivo precoce raggiunge risultati che non saranno più possibili a crescita ultimata, in quanto il riconoscimento e la eliminazione di alterazioni funzionali possono togliere quegli stimoli accrescitivi negativi assai influenti specie nell’età prescolare.

A seconda dell’età e delle problematiche occlusali del paziente , lo specialista prescriverà degli esami radiografici da integrare con la valutazione clinica del soggetto. 

L’ortodontista, nell’ambito della prima visita, dopo:

  • un’accurata analisi del caso
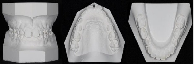
  • studio sui modelli in gesso delle arcate dentali (Fig.2)
  • studio delle radiografie della bocca (ortopantomografia) (Fig.3)
  • studio delle radiografie del cranio (teleradiografia latero-laterale e tracciato cefalometrico e teleradiografia postero-anteriore) (Fig.4)
  • valutazione posturale e funzionale del soggetto (Fig.5)
  • TC cone beam, da utilizzare prevalentemente per valutare meglio alcune disodontiasi o problematiche articolari (ATM) .

elaborerà un piano di trattamento personalizzato e progetterà  i relativi apparecchi ortodontici-ortopedici necessari al riposizionamento dei denti e dei mascellari.

Fig.2.modelli studio in gesso
Fig.3. ortopantomografia
Fig. 4. teleradiografia latero laterale- tracciato cefalometrico-Teleradiografia postero-anteriore
Fig.5. valutazione posturale prima e dopo la correzione della latero deviazione mandibolare.

I corretti rapporti tra le arcate dentarie, hanno come presupposto, oltre ad una genetica favorevole, una corretta posizione e simmetria dello scheletro, una corretta funzione della muscolatura, un’efficienza adeguata del sistema nervoso, con un controllo delle sollecitazioni esterne (parafunzioni).

La somma favorevole di tutti questi fattori, consente di ottenere un equilibrio sia di posizione degli elementi dentari, sia delle varie funzioni della bocca (masticazione, fonazione, deglutizione, respirazione…), che consentono una prognosi favorevole nel medio e lungo termine.

 L’instaurarsi di una malocclusione, è sempre causato dallo scompenso di uno o più di questi fattori che influenzano caratteristicamente il volto del soggetto che le presenta.

Possiamo fare una classificazione delle principali malocclusioni, ragionando tridimensionalmente sulle arcate dentarie, andando ad intercettare disfunzioni sui relativi 3 piani che compongono il 3D:

  • piano sagittale
  • piano frontale
  • piano trasverso.

E’ doveroso sottolineare che questa classificazione proposta è utile per indicare una linea diagnostica di riferimento, ma nella realtà clinica, i fattori che vanno considerati nella diagnosi di una malocclusione devono essere integrati con l’esperienza specialistica.

La diagnosi di tali malocclusione, avviene attraverso l’anamesi, l’esame obiettivo, l’esame funzionale e attraverso il reclutamento dei diversi records diagnostici sopracitati, utili a seconda dei casi specifici.

Tipologie di malocclusioni riscontrabili

Tratteremo la classificazione di Edward H. Angle che si riferisce ai rapporti tra primi molari e canini superiori e inferiori, dividendo le occlusioni fisiologiche e patologiche in 3 classi.

  • Prima classe dentale (classe 1)  detta normo-occlusione
  • Seconda classe dentale (classe2)  malocclusione
    • Seconda classe Prima divisione
    • Seconda classe Seconda divisione
  • Terza classe dentale (classe 3)  malocclusione

Prima classe dentale (Classe 1)

Fig. 6 prima classe dentale

Viene definita  occlusione corretta o normo-occlusione, poiché i rapporti che si instaurano tra i vari elementi dentari in questo tipo di occlusione, consentono una funzione efficace ed efficiente  con minor dispendio di energia.

 La stessa occlusione  di classe 1 molare e canina, può presentare dei  difetti di posizione  di alcuni elementi  dentari, creando  quelli che vengono definiti affollamenti, ovvero, sovrapposizioni parziali di alcune corone dentarie che sono causate ad esempio da inadeguati rapporti di forma tra i reciproci elementi  contigui o antagonisti. 

Oltre ciò, l’equilibrio   di classe 1, comporta un’attività muscolare adeguata,  collabora  al  raggiungimento e/o al  mantenimento  dell’equilibrio  posturale.

Seconda classe dentale (Classe 2): prima divisione e seconda divisione

Fig. 7 – Seconda classe divisione1 – Fig. 8 – Seconda classe divisione2

Le classi 2 hanno rapporti molari e canini simili, con differenze relative alle proinclinazioni o endoinclinazioni  degli incisivi.

Queste differenti posizioni  degli  elementi frontali, sono  imputabili a diversi fattori.

In particolare possiamo  citare lo scompenso  neuromuscolare  sia  della  lingua, sia labiale.

Lo scompenso delle labbra può avvenire attraverso un ipotono muscolare (per le divisioni 1) (Fig.06), o un  ipertono muscolare in grado di endoinclinare gli elementi del gruppo frontale (divisione 2) (Fig. 07).

L’eziopatogenesi  (la causa)  delle classi 2 può essere  data da numerosi  fattori.

La genetica, i traumi da gestazione o da parto che influenzano la conformazione del cranio,  le parafunzioni, lo sviluppo cranio facciale in età evolutiva, la respirazione orale, perdita precoce di elementi dentari, disordini neuromuscolari, atteggiamenti posturali, sindromi più complesse ecc.

La classe 2 può essere frutto di una malposizione dentale, ma anche di una malposizione scheletrica.

Scheletricamente possiamo trovarci di fronte ad un mascellare più avanzato con una mandibola  di corrette dimensioni, viceversa potremmo avere un mascellare di corrette dimensioni ed una mandibola  più piccola  o retroposizionata, oppure potremmo  avere la somma dei 2 fattori.

Le terapie  nelle  diverse  situazioni sono differenti e richiedono  livelli di attenzioni adeguati alla  gravità del caso.

Da un punto di vista funzionale  e posturale, le classi 2 intervengono  negativamente  sul sistema neuro-muscolare e articolare.

Quando abbiamo una mandibola retroposizionata ad esempio, questa va ad impattare nell’ATM causando disfunzioni che con il tempo possono portare a scompensi che attivano disordini più complessi, soprattutto associandosi  a disequilibri  di altri livelli o a parafunzioni (serramento o bruxismo ad esempio).

Anche il muro anteriore che spesso si verifica nelle  divisioni 2, dato dal morso profondo tra il gruppo  frontale  superiore  ed inferiore, causa  delle  limitazioni  funzionali  mandibolari davvero  importanti.

Terza classe dentale (Classe 3)

Fig.9

Viene definita un’occlusione non corretta, la cui eziopatogenesi ha una componente fortemente genetica, ma può essere causata da diversi altri fattori come: il trauma da gestazione o da parto, parafunzioni, (definite finte terze classi), a causa ad esempio di fattori che richiedano alla mandibola un atteggiamento più avanzato per funzionare meglio, disordini neuromuscolari, atteggiamenti posturali, sindromi più complesse ecc.

Scheletricamente possiamo trovarci di fronte ad un mascellare più arretrato con una mandibola  di corrette dimensioni, viceversa potremmo avere un mascellare di corrette dimensioni ed una mandibola  più grande o posizionata anteriormente, oppure potremmo  avere la somma dei 2 fattori.

Altri tipi di malocclusione che interessano i diversi piani dello spazio e che possiamo riscontrare indipendentemente dalla classe dentale sono:

  • Morso aperto o Open bite
  • Morso profondo o Deep bite
  • Morso crociato mono o bilaterale o Cross bite
  • Gravi affollamenti dentali
  • Disodontiasi o ectopie dentali

Conclusioni

Concludendo questa prima parte, introduttiva, abbiamo presentato quello che comporta il primo approccio terapeutico dello specialista.

L’importanza della prima visita del bambino a  4 anni e l’importanza degli esami diagnostici da effettuarsi dopo i 6 anni.

L’importanza della valutazione clinica, da parte dello specialista, che va a integrare e completare i dati rilevati dagli esami diagnostici.

Negli articoli che seguiranno nei prossimi mesi, cercheremo di spiegare le diverse problematiche che lo specialista deve affrontare per correggere le diverse malocclusioni e i pro e i contro di alcuni apparecchi ortodontici.

Infatti non sempre ciò che ci viene sponsorizzato dalla moda e dall’industria è il piano di cura più idoneo per determinate malocclusioni.

Dott. Carmelo Antonio Condorelli ortodontista a Gallarate

SI PREGA DI INDICARE IL PROPRIO NOME E QUELLO DEL DESTINARIO DELLA RICHIESTA.

Condividi su