L’estetica dentale è data dal connubio tra l’allineamento dentale e la gestione delle forme dentali.
Pertanto, in questo articolo, cercheremo di elencare le metodiche ortodontiche e odontoiatriche che possono essere utilizzate per migliorare l’estetica dentale del paziente.
L’ortodonzia
L’ortodonzia è finalizzata alla correzione dei disallineamenti e malocclusioni dentali.
L’ortodonzia estetica non è altro che la tradizionale ortodonzia ma con apparecchiature con un impatto visivo meno importante .
Grazie ad essa è possibile indossare apparecchi che sono poco percepibili ad occhio nudo.
Ma in cosa consiste precisamente? Cosa posso fare per usufruirne?
Nella pratica, di cosa stiamo parlando?
Ortodonzia classica
L’ortodonzia classica necessita di apparecchi con brackets fissi, e/o di bande che riescono ad allineare i denti grazie alle forze che i fili ortodontici di diverso diametro e forma esplicano su di essi.
Prima di poter indossare uno di questi apparecchi, è necessario recarsi presso uno studio specializzato, dove l’ortodontista può fornire un quadro generale del caso, definire il tipo di malocclusione e proporre una cura adeguata.
Durante il periodo di trattamento attraverso l’uso di brackets bisogna avere una ottima igiene orale per prevenire eventuali decalcificazioni o carie dentali.
Mantenendo sempre gli apparecchi e la metodologia classica , esistono degli attacchi ortodontici (brackets) realizzati con materiali diversi dalle leghe metalliche:
- ceramici
- o materiali sintetici, che a loro volta permettono di trasmettere la forza ortodontica dal filo elastico al dente .
Tali tipologie di attacchi presentano un impatto visivo moderato ma non possono evitare che si continuino a vedere gli archi metallici di collegamento tra i diversi elementi dentali.

Questi attacchi sono più costosi e più delicati rispetto ad un attacco tradizionale in lega metallica.
Ortodonzia linguale
L’ortodonzia linguale consiste nell’applicare i fili e gli attacchi metallici sulla parte interna del dente, così da rendere la struttura completamente invisibile.
Questa pratica è ideale per il semplice allineamento dentale, un po’ meno per la correzione di malocclusioni più gravi.
Molto spesso, questa tecnica è preferita dagli adulti nonostante le piccole lesioni linguali favorite dalla stessa.
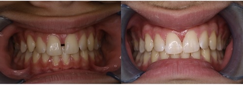
Inoltre, per alcuni casi più semplici, è possibile applicare l’ortodonzia linguale senza attacchi, cioè applicando uno o più fili metallici molto sottili lingualmente . (fig.2)

Questa metodica è più economica ma con minori pretese ortodontiche.
Macherine trasparenti o allineatori dentali
Gli allineatori o mascherine trasparenti sono degli apparecchi mobili di colore trasparente utilizzato solitamente per allineare i denti senza ricorrere ad apparecchiature fisse.
Il fatto che questo strumento sia rimovibile permette di mantenere una corretta igiene orale e di non avere problemi legati alla consumazione di pasti e bevande.
Le mascherine possono migliorare le loro performance ortodontiche attraverso l’uso di attachments.
Ovvero strutture fatte in materiale bianco o colore del dente che vengono incollate al dente per poter aumentare l’aderenza delle mascherine nei confronti del dente .
Gli allineatori vanno sostituiti ogni una o due settimane circa a seconda della fase del trattamento.
Per poter arrivare al risultato desiderato e nei tempi previsti devono essere tolti solo durante i pasti e quando si lavano i denti.
Fatti in materiale plastico modellabile, permette, settimana dopo settimana, di raggiungere il risultato terapeutico programmato dallo specialista.
Si sconsiglia l’uso di bevande dolci durante l’utilizzo delle mascherine per non aumentare la cario-recettività del paziente.

In odontoiatria , l’estetica dentale non è data solo dall’allineamento dentale ma anche da altre procedure che elencheremo di seguito.
Sbiancamento dentale
Lo sbiancamento dei denti è un processo a cui si ricorre nel caso in cui si vogliano eliminare macchie o decolorazioni dello smalto.
Questi disagi potrebbero essere causati sia da una cattiva igiene orale, che dall’uso eccessivo di fumo e/o caffè o altri alimenti che tendono a pigmentare lo smalto.
Sono diverse le tecniche di sbiancamento, alcune che prevedono l’intervento di uno specialista in studio, altre che possono essere effettuate a domicilio ma con la supervisione dello specialista.
Nel caso di intervento di uno specialista, il trattamento dura in genere un’ora ed il cambiamento è immediato con possibilità di un richiamo, e prevede l’applicazione di un gel a base di perossidi e l’uso di un laser o opportuna lampada dedicata che facilitano l’azione e l’attivazione dello stesso gel.
E’ fondamentale che tale procedura venga svolta in studio perché è fondamentale la perfetta protezione di tutte le gengive che circondano i denti che devono essere sbiancati.
Per quanto riguarda le tecniche domiciliari, queste prevedono l’uso di kit, professionali e non, che includono delle mascherine atte a tenere in sede il gel con perossidi che hanno concentrazioni molto più basse rispetto a quelle utilizzate negli studi dentistici.
È necessario, però, prima di effettuare lo sbiancamento, un consulto medico, per verificare che le gengive e i denti siano abbastanza forti e che non ci siano gengiviti o lesioni parodontali in corso.

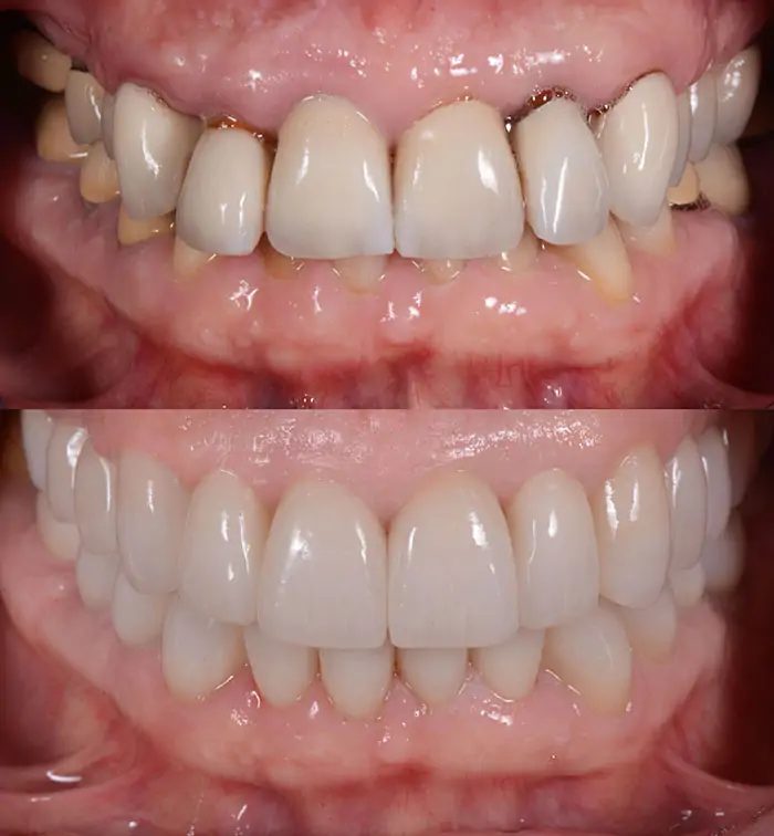
Faccette dentali
Le faccette dentali sono fondamentali per la risoluzione di problemi legati a danneggiamenti della superficie dentale, a cui si ricorre quando i trattamenti tradizionali, tra cui lo sbiancamento o le normali otturazioni estetiche in materiale composito dovessero risultare inefficaci.
Le faccette sono solitamente realizzate in:
- ceramica,
- composito,
- disilicato di litio,
- zirconia
Sono applicate sul dente grazie all’uso di cementi specifici.
Il tipo di materiale viene selezionato a seconda delle problematiche dentali e delle esigenze estetiche del paziente.
Non è necessaria alcuna anestesia, dato che si lavora sullo smalto del dente.
Può essere necessario rimodellare i margini dentali sulla base del progetto estetico e protesico.
Prima di applicare le faccette, è necessario effettuare una o più visite per valutare il caso, effettuare una prova estetica del progetto con resine provvisorie.
Valutare insieme al paziente l’impatto visivo funzionale ed estetico del nuovo sorriso.
Solo dopo queste considerazioni, si può procedere con la consegna e il fissaggio definitivo.

Corono-plastica dentale
Quando alcuni elementi dentali presentano delle anomalie di forma e dimensione possono essere corretti attraverso l’uso dei normali materiali da otturazione in resina composita.
Tale tipo di approccio non ha la pretesa di coprire le gravi discromie dentali, ma ci permette di ottenere dei buoni risultati estetici ad un costo pressoché esiguo rispetto alle faccette estetiche sopracitate.

La Redazione
Dott. Carmelo Antonio Condorelli ortodontista a Gallarate
SI PREGA DI INDICARE IL PROPRIO NOME E QUELLO DEL DESTINARIO DELLA RICHIESTA.











